Nasza praca
Przywracamy uśmiechyNasza praca
Przywracamy uśmiechy
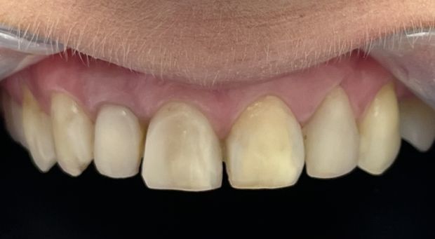
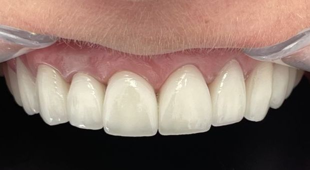
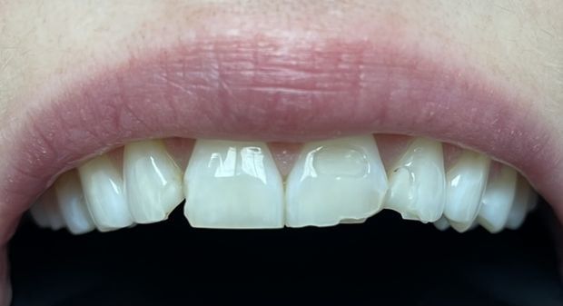
Licówki pełnoceramiczna wykonane cyfrowo w systemie CAD/CAM w przypadkach, kiedy poprawiamy estetykę – kształt i kolor zębów.
Pełna rekonstrukcja łuków zębowych, podwyższenie zgryzu, odbudowa utraconych tkanek zębów z wykonaniem koron cyrkonowych licowanych ceramiką oraz ruchomych uzupełnień protetycznych.
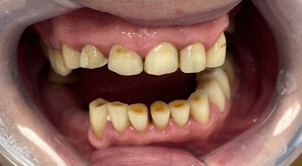
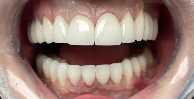
Pełna rekonstrukcja zgryzu, zmiana koloru i kształtu zębów za pomocą koron i mostów cyrkonowych licowanych porcelaną w kolorze BL2.
Metamorfoza uśmiechu w „Hollywood smile”
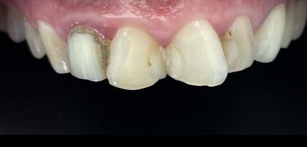
W tym przypadku zniszczonych i krótkich koron wykonano zabieg chirurgicznego wydłużenia koron klinicznych z plastyką dziąseł oraz wykonano pojedyncze korony cyrkonowe licowane porcelaną w kolorze BL2.
Zmiana kształtu i koloru koron zębowych z pomocą koron ceramicznych.
Braki zębowe uzupełnione mostami porcelanowymi.
Idealnym rozwiązaniem na uzupełnienie pojedyńczego braku zębowego jest wszczepienie implantu i odbudowa korony zęba.
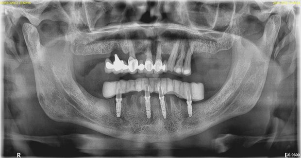
Uzupełnienie ruchome – proteza zakotwiczona na czterech implantach w żuchwie, idealne rozwiązanie dla pacjentów borykających się z problemem utrzymania protezy dolnej.
ALL ON FOUR – to odbudowa na czterech implantach całego łuku zębowego. Idealne rozwiązanie dla Pacjentów, którzy nie wyobrażają sobie życia z uzupełnieniem ruchomym.
Umów wizytę
Zarezerwuj termin
Zadzwoń do nas i zapytaj o najbliższą wolną wizytę, aby zarezerwować dogodny dla Ciebie termin.
Jesteśmy do Twojej dyspozycji
Kontakt
Adres
ul. Olsztyńska 36
87-100 Toruń
Telefon
+48 501 192 468
+48 56 658 69 60
kontakt@szymionstomatologia.pl
szymionstomatologia@gmail.com
Gabinet stomatologiczny, w którym pacjent czuje się bezpiecznie i komfortowo.




























